Cosmetic Dentistry and Esthetic Enhancements

Whether you require teeth whitening, bonding or veneers, we will assess your cosmetic needs, and recommend the best treatment options to ensure that you leave our offices with a beautiful, natural and long-lasting smile.

Non-Invasive Esthetic Enhancements

Dr. Urbankova practices unique non-invasive additive techniques without original tooth structure alteration. This is the most natural form of permanent smile enhancement bringing patients back their youth and natural beauty.

CASE 1 : HELEN

Helen is 74 years old. Beautiful and always very well cared for lady. She does not look 74 but maybe 60 years old. Time has shown aging also on her teeth with recession and showing dark spaced between her teeth. She wanted to improve her smile but preserve integrity of her teeth and she used our serviced with non-invasive additive technique where her own enamel was not removed or altered.

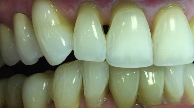
CASE 2 - PETER

Peter is 32 years old young gentleman. He has developed erosions and stain on his teeth. Traditional method would require dental venners with much tooth structure removal. Instead Peter benefited with non-invasive adhesive treatmentso he can Preserve His Teeth and smile with confidence.

CASE 3 - CORI

Cori is a 12-year old girl who came to our office and during her visit expressed frustration with her smile. She thought her teeth were not as white as she would like and that they looked rather small and were not straight. She had been offered orthodontic treatment or veneers in the past, but she did not like either option due to the length of treatment and high expense. She also did not like that veneers would involve the cutting of her natural teeth. We offered her a different, completely natural option – a minimally invasive cosmetic procedure to give her a fuller, whiter and healthier smile. First we prescribed a home whitening program that would restore her teeth to their natural shade. Then in the office we artfully re-sculpted and re-contoured the edges of her incisors without cutting the tooth enamel at all to achieve the desired result.

This non-invasive procedure preserved her natural tooth structure and maintained the health of her teeth without invasive and irreversible changes to her teeth, and at a minimal cost when compared to traditional more invasive treatment options. Cori was very happy and all her friends commented on her new beautiful smile.

CASE 4 - PETRA

Petra is a 32 years old fashion designer whose teeth were originally not aligned properly. After receiving an orthodontic treatment her teeth were aligned correctly, but still not looking attractive. Petra’s teeth showed some incisal wear as well as uneven length of her central incisors. After thorough evaluation, we recommended in office whitening and selective bonding. Not only her teeth were not cut and preserved, but also financial savings for patient were significant.

CASE 5 – MARICELLA

Maricella is a 48 years old attorney and she has gum recession. She was not happy about the gap between her teeth that has been getting progressively worse over the years. She is regularly seen by her periodontist who advised to veneer her two teeth to close the unattractive space. She has found our office and we have offered her selective bonding to close the space. After in office whitening procedure her teeth were bonded to achieve the result below. Not only none of her teeth enamel was removed but we also achieved better esthetic result then traditional veneers where tooth enamel is removed as part of veneer procedure.

CASE 6 – RACHEL

Rachel is a 64-year old white female and wanted to correct her smile to what is used to be. Rachel did not like large spaces between her lateral teeth and canines, and chipped incisor edges. Her teeth showed a lot of wear. We offered her in office bleaching and multiple composite restorations matching her natural tooth color. Rachel was very happy as her teeth were preserved, not cut and looked even better then 20+ years ago. See below before and after.

CASE 7 – PAULA

This patient Paula is 62 years old white female presented to our office with desire to improve her smile. Patient did not like that her teeth were rotated, had spaces and asked about what can be done? Paula was not interested in orthodontic treatment, crowns or veneers – the traditional approach. We offered her minimally invasive treatment: where natural tooth structure was deficient or week by wear we placed multiple restorations matching her natural tooth color with slight re-contouring. The natural tooth structure was not cut but preserved. See below before and after with detail.

CASE 8 – STEPHAN

Stephan (50+years old) is our long time patient who just needed to preserve his worn out front teeth. His front teeth demonstrated incisal wear. After in-office bleaching we have restored his incisal edges to his 20+ year condition. No drilling his teeth, just preserving the teeth he has and achieving esthetic result as well...

MANHATTAN

  • ROCKEFELLER CENTER
  • 630 5th Avenue, Suite 1860
  • New York, NY 10111
  • (212) 765-7340
Manhattan Appointments Rockefeller Gallery

EAST SETAUKET

  • STONY BROOK TECHNOLOGY PARK
  • 196 Belle Meade Road, Suite 6
  • East Setauket, NY 11733
  • (631) 246-8080
Setauket Appointments Setauket Gallery